American Orthodontics Association describes orthodontics as the branch of dentistry thatdeals with the supervision, guidance, and correction of dental and facial structures, includingconditions that need teeth movement and interventions to correct pathologic and malformedrelationships between and among teeth and craniofacial bones. Most ofthe orthodontic procedures performed in small animals involve incisors and canine teeth.Premolar and molar teeth rarely present with conditions that justify orthodontic correction.Orthodontic treatment in animals is not a cosmetic luxury; it is a medical necessity used to restore proper function of the jaws and reduce oral pain. Teeth that are crowded, misaligned, or angled improperly can lead to several serious problems:
- Increased Risk of Periodontal Disease
- Sharp or misaligned teeth can puncture the gums or other tissues.
- Abnormal alignment can cause excessive tooth wear, leading to enamel loss, fractures, and nerve exposure.
- Misaligned teeth cause pain in jaw joints, teeth, gums and cheeks.
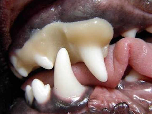
Understanding Normal Occlusion
A normal bite in medium and long-muzzled breeds is known as a scissors bite: the upper incisors slightly overlap the lower incisors. The lower canine tooth should sit midway between the upper lateral incisor and the upper canine. The tips of the lower premolars should fit into the spaces between the upper premolars.

Normal occlusion in the dog. The tips of the lower premolars fit into the spaces between the upper premolars. (Source: American Veterinary Dental College)
What is Malocclusion?
Malocclusion is the misalignment of teeth or jaws, meaning the upper and lower teeth don’t fit together correctly. There are two main types of malocclusion: 1-Skeletal: Caused by abnormal jaw length or shape (e.g., underbite/overbite), 2- Dental: Normal jaw length, but one or more teeth are out of position (e.g., angled inward/outward).
Causes of Malocclusion
Bite alignment, or occlusion, is influenced by genetics, nutrition, abnormal tooth eruption, trauma, environmental factors, and the way upper and lower teeth interlock. Certain bite issues, such as significant underbites, overbites, or wry bites, are inherited. Others are acquired (e.g., vigorous tug-of-war games, birth trauma, etc).
Common Types of Malocclusion
- Overbite (Class II malocclusion, mandibular distoclusion):
The lower jaw is shorter than the upper jaw, creating a gap between the incisors. This inherited fault is common in long-muzzled breeds such as Collies, Shelties, Dachshunds, and Russian Wolfhounds. - Underbite (Class III malocclusion, mandibular mesioclusion):
The lower incisors extend in front of the upper incisors. This is normal in certain short-muzzled breeds (e.g., Boxers, Bulldogs, Shih Tzus, Lhasa Apsos) but abnormal in medium-muzzled breeds. If the upper and lower incisors meet edge-to-edge, the result is a level bite, which can cause excessive wear even though it may be considered normal in some breeds.

Overbite (Class II malocclusion, mandibular distoclusion)

Underbite (Class III malocclusion, mandibular mesioclusion)
- Rostral crossbite:
The canine and premolar relationship is normal, but one or more lower incisors are positioned ahead of the upper incisors. This common abnormality is typically not inherited and may result from tug-of-war, retained baby teeth, or impacted roots. - Posterior crossbite:
A posterior crossbite in dogs is a malocclusion where lower jaw teeth (premolars/molars) fit outside (buccally) of the upper jaw teeth, instead of the normal inside alignment, often affecting the upper 4th premolar. This uncommon condition is usually seen in long-nosed breeds.

Rostral crossbite (two upper incisors are positioned behind the lower incisors).

Posterior crossbite (lower first molar tooth closes to the outside surface of the upper fourth premolar tooth.
- Wry bite:
One side of the jaw grows more than the other, causing asymmetry. This severe defect is genetically inherited. - Base-narrow canines:
The lower canine teeth angle inward and may injure the palate. Causes include retained baby teeth or a narrow lower jaw. Orthodontic appliances can often reposition the canines.


Trauma to the hard palate (blue arrow) due to a lingually deviated (base-narrow) lower canine tooth.
- Mesioverted or ‘lanced’ maxillary canine teeth:
This is an inherited dental problem, common in Shelties, where the upper canine teeth point forward (toward the nose) instead of straight down. When the maxillary canine tooth points forward, it narrows the space for the mandibular canine to erupt into. This frequently results in linguoversion of the mandibular canine teeth with subsequent trauma to the roof of the mouth from these teeth.

Mesioverted left maxillary canine tooth causing significant food and hair entrapment between the third incisor and canine.

Mesioverted right maxillary canine.
- Open bite:
One or more incisors fail to make contact when the mouth closes. The tongue may protrude between them. - Rotated teeth:
Common in short-muzzled breeds whose small mouths cannot accommodate all 42 adult teeth. These rotated teeth often develop gum disease. While diligent brushing may slow progression, the tooth often cannot be saved.

Rotated premolar teeth (yellow arrows) in a brachycephalic breed.

Rotated upper fourth premolar tooth with severe periodontal disease in a brachycephalic breed.
Conditions that can cause malocclusion
Retained Baby Teeth
Normally, the roots of a puppy or kitten’s baby teeth dissolve as the adult teeth erupt. When a baby tooth remains in place, the adult tooth can shift out of position, causing crowding and creating spaces where food becomes trapped. This leads to early gum disease and may compromise the stability of the new tooth, sometimes resulting in premature loss. The retained tooth should be removed as soon as an adult tooth begins to emerge nearby. When addressed early, the adult tooth often shifts into a normal position.

Retained baby canine teeth in both upper and lower jaws of a dog. Retained baby canine tooth in the upper jaw creating crowding and accumulation of debris composed of food, hair, and tartar.

Retained baby canine teeth in a cat’s upper jaw.
Dental Interlock
Puppy and kitten jaws do not grow evenly. If baby teeth erupt while one jaw is growing more quickly than the other, the teeth can interlock in a way that prevents normal jaw development. Even animals with genetically normal bites can end up with malocclusions due to this mechanical interference. If an underbite is seen before permanent teeth erupt, early intervention may help. Removing the baby teeth that obstruct forward jaw growth—typically by 10 weeks of age—may allow the jaw to resume normal lengthening. This technique, known as interceptive orthodontics, can correct about half of mild jaw-length discrepancies when performed early. Extraction does not cause the jaw to grow; it simply removes the barrier preventing genetically controlled growth.
Missing or Additional Teeth
Some pets are born missing teeth, while others may have more teeth than normal. Extra teeth crowd the mouth and contribute to periodontal disease. Dental X-rays taken as early as 10 weeks can reveal how many teeth are present. Missing teeth, especially premolars, are usually inherited defects. Collies and Dobermans are among the breeds most affected. In some cases, a tooth is present but trapped beneath the gums, which can be confirmed with X-rays.
Orthodontic Treatment for Pets
Many bite abnormalities can be corrected. Orthodontic intervention in pets is intended to improve comfort and function of the bite, not aesthetics, and is not recommended for animals intended for the show ring.
To move teeth, veterinarians may use brackets and elastic chains, arch bars,screw-activated expansion devices, cast metal and acrylic inclined planes, modified quad helix, and W-wires. Fortunately, tooth movement in animals typically takes months rather than years. If your pet’s teeth appear to meet improperly, have your veterinarian evaluate the bite and suggest appropriate care. SAVDOS can help your veterinarian in the treatment of various malocclusions using various orthodontic techniques.

An acrylic inclined plane is place inside this dog’s mouth to correct the position of the lower canine tooth.

Active force orthodontic is applied to this dog’s mesioverted upper canine tooth to bring it in a normal position.
